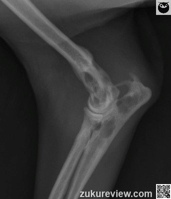
Radiographic interpretation: There is geographic lysis involving the distal humerus, proximal ulna, and to a lesser degree the proximal radius. The areas of bone loss are multifocal with relatively well circumscribed borders. The anconeal process is absent. There is a large soft tissue swelling centered around the left elbow.
Ultrasound: There is a heterogeneous, hyperechoic lesion surrounding the caudal aspect of the elbow and also extending medially and laterally. There are severe defects within the bone and the mass lesion extends into the bone.
Fine needle aspirate and cytology of the lesion revealed mesenchymal proliferation and marked atypia with increased plasma cells and recent hemorrhage – probable sarcoma.
Radiographic interpretation and images courtesy, Dr A. Zwingenberger and Veterinary Radiology. Normal radiograph links courtesy, Imaging Anatomy Univ. of Illinois Vet Med.