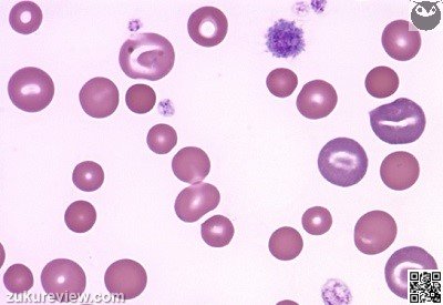
On evaluation of red blood cell parameters what does anisocytosis mean, as demonstrated on the blood smear below?
Correct. You chose {selectedText}.
Incorrect. You chose {selectedText}, but the correct answer is {correctText}.
Anisocytosis means differently sized red blood cells (RBC). Most commonly seen with regenerative anemia.
RBCs can be described by size, shape, and color.In regenerative anemia look for immature RBCs that are larger (macrocytosis) and a different color (polychromasia) than matuer RBCs. Immature RBCs are typically paler/bluish in appearance.
If RBCs are smaller than normal this is termed microcytosis. This also causes anisocytosis on a blood smear. Microcytosis occurs with non-regenerative anemias due to the presence of older RBC that are smaller. Also think of dogs with a congenital portosystemic vascular anomaly (a.k.a. portosystemic shunt).
Poikilocytosis means irregularly shaped cells. Poikilocytosis in goats is common and normal.