Tuesday, January 6
Question of the Day
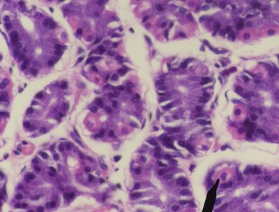
This is an image from the gastric mucosa.
What is the name of the cell indicated by the dark pointer in the bottom right that secretes hydrochloric acid?
This is an image from the gastric mucosa.
What is the name of the cell indicated by the dark pointer in the bottom right that secretes hydrochloric acid?