Monday, January 19
Question of the Day
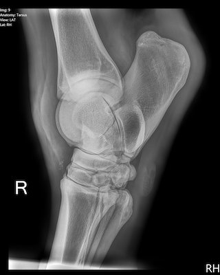
A nine-year-old Quarterhorse mare is presented with a right hind limb lameness.
She tends to drag the right toe, and has a stabbing gait in that limb (adducts hindlimb, then suddenly abducts it just before the hoof hits the ground).
Hock flexion of the right hind significantly exacerbates the lameness for five to six strides. A radiograph of the hock is taken, shown below.
What is the common name for this problem?