Wednesday, January 28
Question of the Day
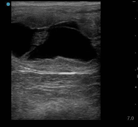
An eight-year-old Tennessee Walker mare is presented for evaluation. She was accidentally turned out with a stallion a couple of times about three or four weeks ago. Transrectal ultrasound of the uterus reveals the following.
What can the owner be told?