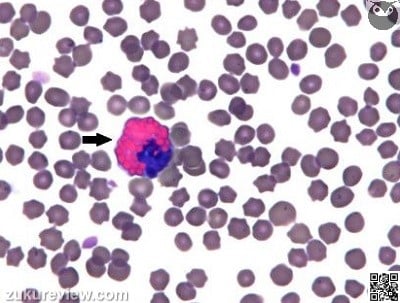
What types of disease processes are typically associated with increases in the leukocyte indicated in this image of a blood smear?
(This image happens to be from a horse, but the mechanisms are similar across species).
Correct. You chose {selectedText}.
Incorrect. You chose {selectedText}, but the correct answer is {correctText}.
Systemic allergic reactions and tissue invasion by parasites can cause eosinophilia (as well as basophilia). Eosinophils have specific functions defending against metazoan parasites and modulating inflammatory processes.
Eosinophils (EOS) attach to and kill parasites in a process that also involves antibody, complement, and T lymphocytes. They are not as effective against bacterial infection as other leukocytes.
When EOS bind to immunoglobulin E, degranulation occurs, releasing inflammatory mediators into the local environment.
There is also a paraneoplastic eosinophilia seen with lymphoma in horses, and with a variety of neoplasms (mast cell tumors, squamous cell carcinoma, lymphoma) in dogs and cats.