A four-month-old female mixed breed puppy is presented with a one-month history of generalized wobbliness when walking and head-bobbing when attempting to eat. The signs have not progressed.
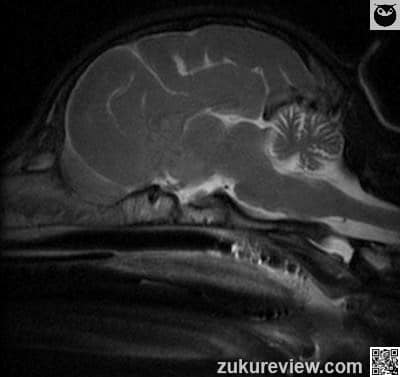
Two MRI images are shown below.
What is the diagnosis?
Correct. You chose {selectedText}.
Incorrect. You chose {selectedText}, but the correct answer is {correctText}.
This is cerebellar hypoplasia, although cerebellar abiotrophy is also possible. This is a congenital, irreversible condition.
Think of kittens with cerebellar hypoplasia due to in utero feline panleukopenia infection.
MRI interpretation: Representative T1 and T2 weighted MRI images. The cerebellum is small with a resulting large collection of CSF in the vicinity. There are no other abnormalities of signal intensity. Follow this link and click additional images to see another example of cerebellar hypoplasia in a dog.
Radiographic interpretation and images courtesy, Dr A. Zwingenberger and Veterinary Radiology.